Introduction: Breast cancer is one of the most frequently occurring cancers affecting women worldwide. Early detection is key for successful treatment and improved outcomes; mammograms have become widely used screening tools; however, can they detect stage 1 breast cancer? In this article we'll investigate their effectiveness at doing just that and explore their role as early-stage breast cancer screening tools.
Understanding Breast Cancer Stages: An Overview:
Breast cancer can typically be divided into stages based on its size, spread to lymph nodes nearby and presence or absence in other parts of the body. Stages range from 0 (noninvasive or "in situ") up to IV for metastatic cancer which has spread distant organs.
Early Detection Is Critical:
Stage 1 breast cancer is considered to be in its early stage and thus more treatable and likely to result in successful therapy treatments. Early detection is of vital importance as breast cancer progresses into later stages and becomes harder to manage, often necessitating more aggressive therapies to control it effectively.
Mammograms and Early Detection:
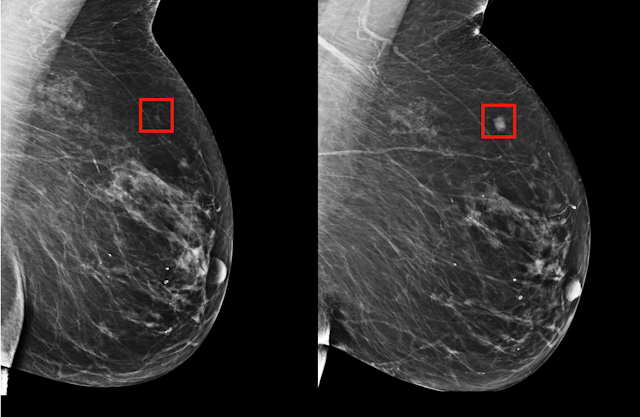
Mammograms, which provide X-ray images of breast tissue, are an invaluable screening tool to detect early stage breast cancer. While mammograms can detect abnormalities that would otherwise remain undetected through physical exam alone - including small tumors not easily visible through physical inspection alone - their success in early cancer detection depends on a number of factors:
Tumor Size: Mammography can detect tumors as small as 2-3 millimeters in diameter; many stage 1 breast cancers fall within this size range and thus become detectable via mammography.
Breast Density: Breast density can differ considerably between individuals, making mammography harder to interpret in some instances due to dense breast tissue density. Therefore, additional imaging methods like ultrasound or MRI may be recommended in such instances for greater detection accuracy of small tumors on mammograms.
Radiologist's Skill: Accuracy in mammogram interpretation depends heavily upon the expertise and experience of the radiologist reviewing images.
Frequency of Screenings: Regular mammography screening increases your chance of early breast cancer detection and may vary according to age and risk factors, so it is crucial that you adhere to recommended screening schedules.
Conclusion: Mammograms can serve as an invaluable asset in early cancer detection, including stage 1 tumors. Early diagnosis significantly increases chances of successful treatment while decreasing need for more aggressive approaches. At the same time, it's important to keep in mind that mammograms don't always detect all breast cancers accurately and that individual factors like breast density may impede this detection process. Women should work closely with healthcare providers to develop an individualized screening plan suited specifically to their risk factors and health history. Regular self-exams and clinical exams should complement mammography screening efforts in detecting breast cancer early.

